NA ANTENIE: Rozmowy po zachodzie
Studio nagrań Ogłoszenia BIP Cennik
SŁUCHAJ RADIA ON-LINE
 

Przełomowy zabieg w Poznaniu

Publikacja: 29.07.2025 g.15:24  Aktualizacja: 29.07.2025 g.15:26 Magdalena Konieczna
Poznań
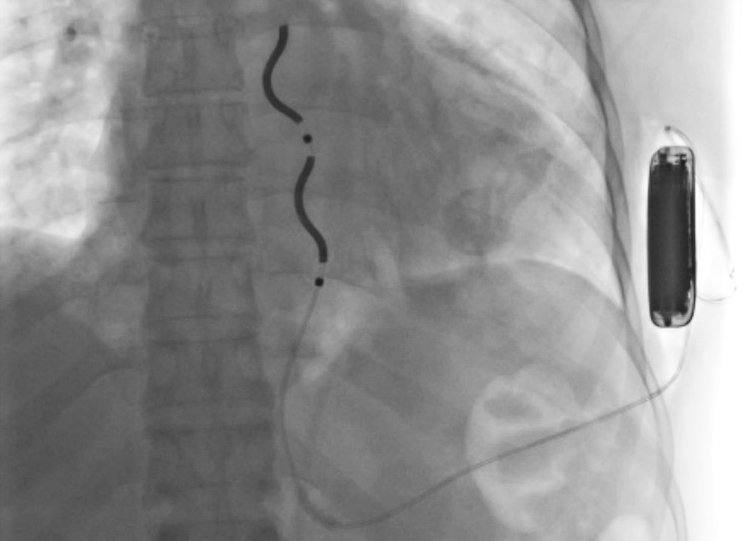
W Miejskim Szpitalu im. Strusia w Poznaniu przeprowadzono innowacyjny zabieg kardiologiczny. 47-letni mężczyzna, u którego często dochodziło do zatrzymania krążenia, otrzymał automatyczny kardiowerter-defibrylator. Lekarze wszczepili pacjentowi urządzenie pod skórę, w okolicy lewej pachy.
Operacja - Miejski Szpital im. Strusia
Fot. Miejski Szpital im. Strusia

Spis treści:

    Tego typu defibrylator nie wymaga umieszczenia elektrody wewnątrz komory serca. Jest wszczepiany pod mostkiem, poza sercem. Dzięki temu pacjent unika powikłań, jakie mogą się pojawić, gdy elektroda jest wprowadzana za pośrednictwem układu żylnego.

    U 47-latka przyczyną wielokrotnego zatrzymania krążenia było migotanie komór serca. Do szpitala przywiozła go karetka. Trafił na SOR, a potem na oddział kardiologiczny, gdzie lekarze zakwalifikowali go do zabiegu.

    Uczestniczyli w nim lekarze z dwóch oddziałów: kardiologicznego i kardiochirurgicznego. Pacjent po 36 godzinach od zabiegu został wypisany do domu.

    Zdjęcie Magdalena Konieczna Magdalena Konieczna

    Na co dzień pyta Wielkopolan, jak się czują, bo na antenie Radia Poznań zajmuje się zdrowiem i tematami medycznymi. Z mikrofonem towarzyszy pacjentom i lekarzom. Informuje o nowinkach w służbie zdrowia, nowoczesnych terapiach i nowych inwestycjach w wielkopolskiej służbie zdrowia. Jest współautorką programu medycznego "Na Zdrowie" i "Klubu Starszaka", bo także sprawy starszych mieszkańców są dla niej ważne. Często można ją spotkać w sądzie, bo śledzi najważniejsze procesy sądowe. Jest także tam, gdzie tętni targowe życie Poznania, czyli na poznańskich targach.

    https://radiopoznan.fm/n/3pjtfR
    KOMENTARZE 0